thalamus
: Thalamus
Français
Étymologie
- (Siècle à préciser) Du latin thalamus (« chambre à coucher ») emprunté au grec ancien θάλαμος, thalamos (« chambre à coucher »). La désignation première de cet organe était : thalami nervorum opticorum (lit des nerfs optiques).
Nom commun

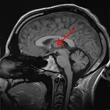
la flèche indique le thalamus. (sens 1)

Les étamines [lettre s] s'insèrent dans le thalamus floral. (sens 2)
thalamus \ta.la.mys\ masculin
- (Anatomie) Structure paire d'origine diencéphalique située de part et d'autre du troisième ventricule dont il constitue les parois latérales. Il sert à filtrer les informations qui arrivent au cortex cérébral.
Au sein et autour des deux thalamus se rencontrent des cloisons fibreuses formées de fibres myélinisées, appelées lames médullaires.
- (Botanique) Réceptacle floral de forme bombée que l'on retrouve parfois chez certaines plantes à fleurs.
Apparentés étymologiques
Traductions
Voir aussi
- thalamus sur l’encyclopédie Wikipédia

Anglais
Étymologie
- (Siècle à préciser) Du latin thalamus (« chambre à coucher »).
Latin
Étymologie
- Du grec ancien θάλαμος, thalamos (« chambre »).
Nom commun
| Cas | Singulier | Pluriel |
|---|---|---|
| Nominatif | thalamus | thalamī |
| Vocatif | thalame | thalamī |
| Accusatif | thalamum | thalamōs |
| Génitif | thalamī | thalamōrum |
| Datif | thalamō | thalamīs |
| Ablatif | thalamō | thalamīs |
thalamus \Prononciation ?\ masculin
Vocabulaire apparenté par le sens
- Talasio, ancienne divinité italique invoquée dans les cérémonies nuptiales
Dérivés dans d’autres langues
Références
- « thalamus », dans Félix Gaffiot, Dictionnaire latin français, Hachette, 1934 → consulter cet ouvrage
Cet article est issu de Wiktionary. Le texte est sous licence Creative Commons – Attribution – Partage à l’identique. Des conditions supplémentaires peuvent s’appliquer aux fichiers multimédias.